Composite Fillings
Before
After
Tooth #6 and #7 composite fillings.
#8 & #9 Implants
Before
After
Braces
Before
After
Finished braces!
Clear Aligners (SureSmile)
Before
After
Before
After
Patient finished clear aligners (SureSmile) in less than 2 years and got amazing correction! Patient was doubtful at first, but is very happy she came to us.
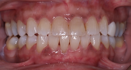
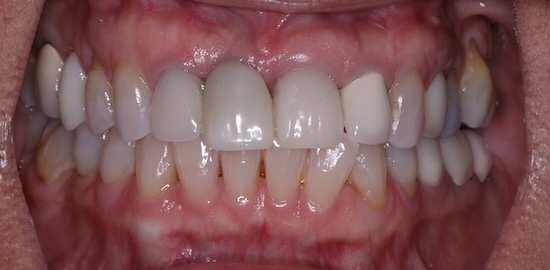
Implant Crowns 1
Before
After
Patient loves her new smile! She didn't like the gray showing under her implant crown and that her front teeth were different colors and sizes. She says her teeth look like they did when she was younger!
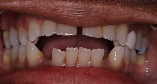
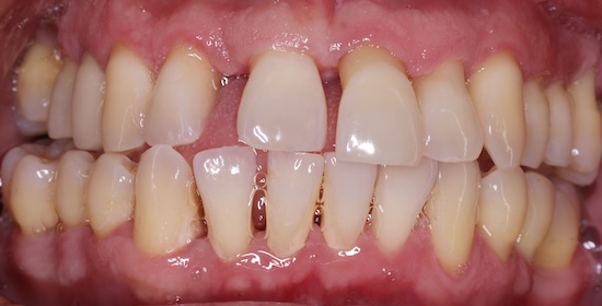
Implant Crowns 2
Before
After
The teeth had severe gum disease. Implant crowns on #8 and #9.
Get a brighter smile today!
Contact us now to schedule your appointment and have the smile you've dreamed about!