Javascript must be enabled for the correct page display
Hours & Contact
Monday - Friday:
9:00am - 5:00pm
Saturday & Sunday:
Closed
Have a question? Give us a call!
(209) 474-0888
facebook
instagram
yelp
google
Main Menu
Menu
Smile Gallery
Services
Emergency Dentist
Chipped Tooth
Emergency Dental Care
Family Dentistry
General Dentistry
Dental Checkup
Dental Cleaning
Dental Sealants
Gum Disease
Laser Dentistry
Mouth Guards
Oral Cancer Screening
Oral Hygiene Basics
Preventative Dental Care
Root Scaling and Planing
Restorative
All-on-4
Composite Fillings
Dental Bonding
Dental Bridges
Dental Crowns
Dental Implant Restoration
Dental Implants
Denture Adjustments
Denture Care
Denture Relining
Dentures and Partial Dentures
Full Mouth Reconstruction
Immediate Dentures
Implant Supported Dentures
Partial Denture
Cosmetic
Clear Aligners
Clear Braces
Dental Veneers
Gum Contouring and Reshaping
Inlays and Onlays
Invisalign
Smile Makeover
Teeth Whitening
Conditions
Gum Recession
Night Guards
Sleep Apnea
TMJ Treatment
Oral Surgery
Bone Grafting
Root Canal Treatment
Sedation
Tooth Extraction
Wisdom Teeth Extraction
Pediatric
About Us
Meet the Team
Dentists
Hygienists
Support Staff
Testimonials
Office Tour
Community Involvement
Technology
CBCT Scans
Intraoral Photos
Blog
Patient Info
Insurance & Financing
New Patients
Special Offers
Request an Appointment
Search
Button Bar
Free Consult
Emergency Appointment
New Patients
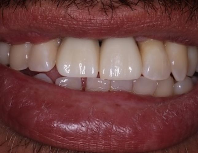
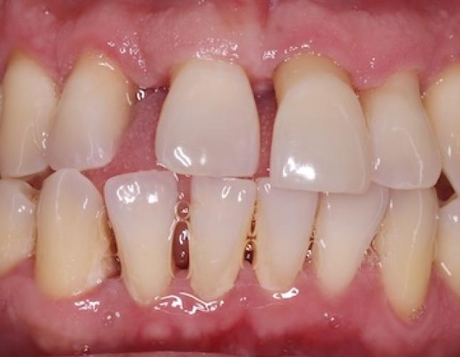
Implant Crowns 2
The teeth had severe gum disease. Implant crowns on #8 and #9.
Anonymous