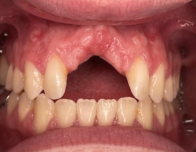
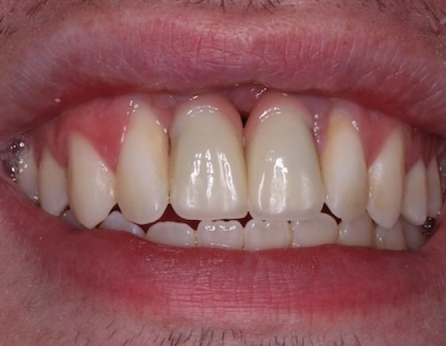
#8 & #9 Implants

Patient had missing front 2 teeth (#8 and #9) for a long time. Patient had been wearing a partial denture as a temporary measure. Patient finally replaced the missing teeth with 2 beautiful implants. It was a long but worthwhile journey.
Anonymous
Before
After